A recent case of Babesiosis in a suckler cow herd
Whilst not uncommon in some parts of the UK, until a recent case, Babesia has not previously been diagnosed at SRUC's St Boswells DSC.
The farm involved calves mainly in the Spring, but it was a batch of twenty-six Autumn calvers that were affected. The history was instead of outwintering these cows they were housed in a new shed during the winter and were turned out to the hill on the 14th April. The practice vet was called on the 1st of May and we got involved a week later.
All the cows were lethargic, slow to move and had a general pallor. Their calves at foot were all clinically normal. Ticks were noted in axilla’s and around udders.
Interestingly visually redwater was not noted (although blood was present in some of the urines when tested with a multistix). PCVs ranged from 10% to 19% in the cows tested.

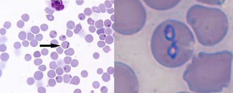
Positive diagnosis can be made on a giemsa stained blood smear and PCR, which also identifies the species involved, which in this case was babesia divergens. Of the four cows blood sampled all of them were positive, two were positive on bloods smears and all on PCR.
Treatment was implemented with Imizol and all of the cows have now recovered. Samples for bloods smears are best made from the peripheral capillaries ie from the ear and samples for PCR must be sent in EDTA tubes.

Posted by SRUC Veterinary Services on 28/06/2023